이슈

AI, 뇌 MRI 판독 혁신: 97.5% 정확도로 생명 구하는 초고속 진단 시대 열리다

뉴스룸 12322 2026. 2. 9. 14:13
반응형

AI, 뇌 MRI 판독의 새로운 지평을 열다

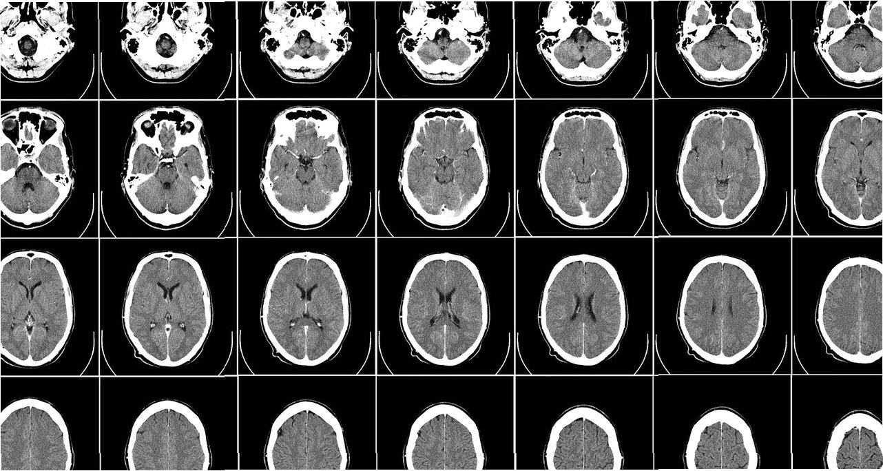
뇌 자기공명영상(MRI)을 단 몇 초 만에 분석하여 신경 질환을 97.5%의 정확도로 진단하고, 환자의 긴급 치료 필요성을 예측하는 혁신적인 인공지능(AI) 기반 모델 '프리마(Prima)'가 개발되었습니다. 이 기술은 영상 검사 즉시 환자에게 피드백을 제공하며, 진단된 질환에 따라 최적의 세부 전문의에게 알림을 추천하는 기능까지 갖추고 있습니다미국 미시간대 의대 토드 홀런 교수팀이 네이처 바이오메디컬 엔지니어링에 발표한 이 연구는 신경영상 분야에 획기적인 변화를 가져올 것으로 기대됩니다.

 

 

 

 

AI 모델 '프리마', 방대한 데이터 학습으로 정확도 높이다

매년 수백만 건의 MRI 검사가 시행되지만, 인력 부족과 진단 오류 등의 문제가 발생하고 있습니다프리마는 기존 AI 모델과 달리, 특정 과제에 국한된 데이터가 아닌 미시간대에서 축적된 20여만 건의 MRI 검사와 560만 개의 영상 시퀀스 등 수십 년간의 방대한 디지털 영상의학 자료를 학습했습니다. 이러한 학습을 통해 프리마는 1년간 3만여 건의 MRI 검사를 이용한 시험에서 수 초 만에 신경계 질환을 97.5%의 정확도로 진단하는 놀라운 성능을 입증했습니다.

 

 

 

 

신속성과 정확성, 두 마리 토끼를 잡은 AI

논문의 제1 저자인 이웨이 뤼 박사는 "뇌 MRI 판독 시 정확성만큼이나 신속한 판독이 적시 진단과 치료 성과 향상에 매우 중요하다"고 강조했습니다프리마는 여러 핵심 단계에서 정확성을 희생하지 않으면서 임상 진료를 효율화할 수 있음을 보여주며, 빠르고 정확한 정보 제공을 통해 의사와 의료 시스템의 부담을 줄여줄 잠재력을 지니고 있습니다.

 

 

 

 

AI 기반 뇌 영상 분석 기술의 발전 동향

하버드 의대와 매스제너럴브리검(MGB) 연구진 또한 뇌 영상 분석을 위한 범용 AI 기초 모델 'BrainIAC'을 개발했습니다BrainIAC은 4만 9000장의 뇌 MRI 데이터를 학습하여 환자의 뇌 나이 추정, 치매 발병 위험도, 뇌종양 유전자 변이 여부, 뇌암 환자 생존 기간 등 다양한 임상 지표를 단일 모델로 동시에 예측합니다. 연구팀은 향후 PET, CT 영상으로 분석 대상을 확대할 계획입니다.

 

 

 

 

의료 접근성 향상을 위한 정부의 노력

한편, 정부는 의료취약지역에서도 MRI 검사를 받을 수 있도록 MRI 기기 운영 기준을 완화하는 방안을 추진합니다인구소멸지역 등에서 전문의 부족으로 MRI 검사가 어려운 사례가 이어지자, 인력 기준을 현실에 맞게 조정하여 의료 접근성을 높이겠다는 취지입니다. 보건복지부는 관련 규칙 개정안을 입법예고하고, 의료취약지역 내 MRI 검사 시행 의료기관이 늘어날 것으로 기대하고 있습니다.

 

 

 

 

AI, 의료 현장의 혁신을 이끌다

AI 기반 뇌 MRI 판독 모델 '프리마'와 'BrainIAC'은 진단의 정확성과 신속성을 획기적으로 향상시키며 의료 시스템의 부담을 줄이고 있습니다더불어 정부의 의료 접근성 개선 노력은 의료 불균형 해소에 기여할 것으로 보입니다.

 

 

 

 

AI 의료 기술에 대해 궁금하신 점들

Q.AI 모델의 진단 정확도는 어느 정도인가요?

A.프리마 모델은 97.5%의 정확도로 신경계 질환을 진단할 수 있습니다.

 

Q.AI가 의료 현장에서 어떤 역할을 할 수 있나요?

A.AI는 MRI 영상 판독 시간을 단축하고, 진단의 정확도를 높이며, 의료진의 업무 부담을 줄여 환자 치료의 효율성을 높이는 데 기여할 수 있습니다.

 

Q.정부의 MRI 운영 기준 완화는 어떤 효과를 기대하나요?

A.의료취약지역에서도 MRI 검사가 가능한 의료기관이 늘어나, 지역 간 의료 서비스 격차를 줄이고 환자들의 의료 접근성을 높일 것으로 기대됩니다.

 

 

 

 

 

 

반응형