마라토너의 예상치 못한 병원 방문: 대상포진 오해
마라토너인 제임스 캐센은 대상포진인 줄 알고 병원 응급실을 찾았다가 전염병으로 의심돼 하루 종일 '격리'된 경험을 틱톡에 공유했다. 병원 진단 결과 대상포진도, 전염병도 아닌 습진이었다.

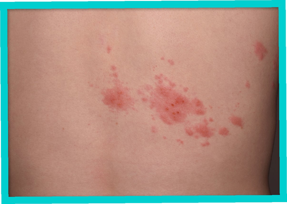
발진의 시작: 16마일 달리기 후 나타난 이상 증세
마라토너인 26세의 제임스 캐센은 지난 8월 뉴욕의 우드스톡에서 16마일(약 26㎞)을 달리고 난 뒤 몸에서 이상 증세를 발견했다.

과거의 기억: 1년 전 대상포진 진단
당시 뉴욕시에서 열리는 마라톤 대회를 준비하던 캐센은 고통스러운 발진을 겪어야 했다.

대상포진의 특징과 오해
대상포진은 수두-대상포진 바이러스가 소아기에 수두를 일으킨 후 신경 주위에 무증상으로 남아 있다가, 면역력이 떨어질 때 신경을 타고 나와 피부에 발진을 일으키면서 심한 통증을 유발하는 질환이다.

응급실 격리: 전염병 의심
그리고 8시간이 지난 오후 4시 30분께 감염내과 전문의 등이 방호복을 갖춰 입은 채 다가와 그를 '격리실'로 옮겼다.

진실의 발견: 습진 진단
다음 날 피부과 진료를 받으면서 의사에게 들은 얘기는 놀라웠다. 그의 몸에 생긴 발진은 대상포진도, 전염병도 아닌 '습진'이었다.

마라토너의 험난한 여정: 대상포진 오해에서 습진 진단까지
마라토너 제임스 캐센은 대상포진으로 오인해 응급실에서 격리되었지만, 결국 습진으로 진단받는 예상치 못한 경험을 겪었습니다. 잦은 달리기와 신체적 스트레스가 원인일 수 있다는 주치의의 소견, 그리고 격리 과정에서 겪은 심리적 고통, 마지막으로 습진 진단을 위한 엄청난 비용 지출까지, 캐센의 이야기는 건강 문제에 대한 오해와 진실을 되돌아보게 합니다.

자주 묻는 질문
Q.대상포진과 습진의 차이점은 무엇인가요?
A.대상포진은 수두-대상포진 바이러스에 의해 발생하며, 신경을 따라 발진과 통증을 동반합니다. 반면 습진은 다양한 원인으로 발생하는 피부 염증 질환으로, 가려움증, 발진, 물집 등의 증상을 보입니다.
Q.왜 대상포진으로 오해했나요?
A.캐센이 1년 전 대상포진 진단을 받은 경험이 있었고, 발진의 형태가 유사했기 때문입니다. 또한, 주치의 역시 이를 근거로 항바이러스제를 처방했습니다.
Q.습진 치료는 어떻게 이루어졌나요?
A.캐센은 국소 스테로이드를 처방받았고, 발진이 빠르게 사라졌습니다.

'이슈' 카테고리의 다른 글
| 바이오 주식, '수익'과 '착각' 사이… 성공 투자를 위한 옥석 가리기 (0) | 2025.09.23 |
|---|---|
| 미래를 엿보다: 대통령실, 블랙록과 데이터센터 및 재생에너지 융합 논의 (0) | 2025.09.23 |
| 충격! 한학자 통일교 총재 구속… 김건희 여사, 권성동 의원 로비 의혹 수사 '탄력' (0) | 2025.09.23 |
| 막말과 기싸움으로 얼룩진 국회 법사위 청문회: 추미애 vs 나경원, 그리고 검찰 개혁의 갈림길 (1) | 2025.09.23 |
| 조희대 '세종대왕' 발언, 민주당 '양심' 정조준…사법부 향한 날 선 비판 (0) | 2025.09.23 |